اسلاید 1
من دکتر سمیرا فضلالهی هستم متخصص دندانپزشکی کودکان و نوجوانان ،با تعهدی کامل به سلامت و شادی کوچولوها، افتخار میکنم که خدمات تخصصی و جامع در حوزه های مختلف دندانپزشکی برای کودکان دلبند شما ارائه میدهم.
از ته دل بخند کوچولو!
ﮎﺩﻮﮐ
ﻥﺍﺪﻧﺩ

لبخندی فوق العاده هدیه کلینیک دکتر فضل الهی به کودک شما!
مرحله اول
هماهنگی و دریافت نوبت
مرحله دوم
معاینه توسط پزشک
مرحله سوم
انجام پروسه درمان
مرحله آخر
پایان عملیات
مقالات اخیر

لبخندی فوق العاده
هدیه ما به کودکان شما!
در کلینیک دکتر سمیرا فضل الهی، سلامت دندان و شادی کودکان شما همیشه در بالای لیست اولویتها قرار دارد. ما به عنوان یک تیم متخصص و مهربان، با افتخار به خدمت رسانی به شما و خانوادههایتان میپردازیم. اعتماد شما به ما، حمایت ماست و ما متعهدیم که از این اعتماد پرانرژی برای بهبود سلامت دندانهای فرزندانتان استفاده کنیم.
رضایت از خدمات
رضایت مشتری
سرعت عمل
خدمات ترمیم
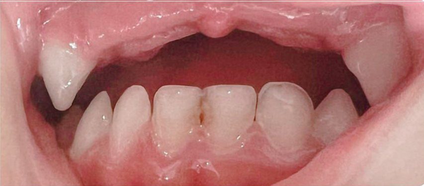
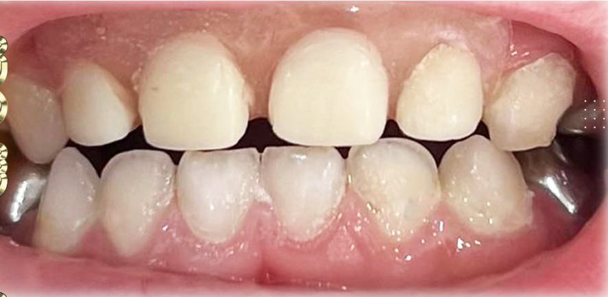
خدمات کامپوزیت دندان کودکان و ترمیم کامپوزیت
درمان تحت بیهوشی و بدون بیهوشی
عصب کشی
پروتز ثابت کودکان
خدمات روکش